胃是人体非常重要的器官,而我国是“胃病大国”。
据世界卫生组织2005年第四季度胃病情况统计,胃病在人群中发病率高达80%,并且正在以每年17.43%的速度增长。
在庞大的肠胃病患者群体中,中老年人占70%以上,其中慢性胃炎和消化性溃疡较为常见。
近年来,生活节奏的加快,不少人过上了外卖“承包”一日三餐的生活,加上久坐、饮食口味等因素,不少年轻人也患上了肠胃病,发病趋势日益呈现年轻化。
而且,我国也是胃癌高发国家,病死率居全球首位!
你的胃还好吗?
俗话说“十胃九病”,胃作为人体重要的消化器官,胃病在日常生活中极其常见。有胃病的人会经常性腹胀、胃脘堵闷、食欲不振,严重的甚至导致营养不良、贫血等,若长期不治,则可能有癌变情况。平时,要多关注一下自己的胃健康哦!
喝氢水能养胃吗?
我们知道,氢气和肠道菌群关系密切。分子氢在胃肠道菌群能量代谢中具有能量转化核心地位,许多对人类营养、疾病和健康密切相关的细菌的代谢通路涉及到氢气。通过喝氢水的方式补充氢气,可以清理肠道自由基,调节菌群平衡,优化肠内环境,促进有益菌增殖,提高胃肠道系统功能,恢复肠道健康,起到养胃的作用。
而且,氢气作为一种选择性抗氧化物质,通过对抗氧化损伤、控制炎症因子释放和减少细胞凋亡等对多种组织损伤可能具有治疗作用。
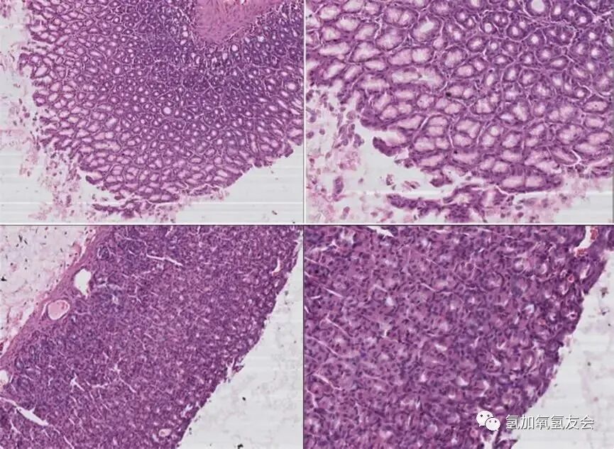
来自西安交通大学,论文发表在国际胃肠学杂志上的研究发现:氢水能保护阿司匹林诱导的胃溃疡,该效应可能和减少炎症反应,降低氧化损伤有关系。(ZhangJY, Wu QF, Wan Y, Song SD, Xu J, Xu XS, Chang HL, Tai MH, Dong YF, Liu C. Protectiverole of hydrogen-rich water on aspirin-induced gastric mucosal damage in rats. WorldJ Gastroenterol. 2014 Feb 14;20(6):1614-22. doi: 10.3748/wjg.v20.i6.1614.)
图中第三张是实验组,第四是氢水治疗,比较两者差别,效果自现
来自清华大学环境学院的一项研究也证明了电解水中氢气抗氧化是发挥治疗胃溃疡的主要原因,抗氧化效应与氢气剂量大小有关系。
日常,大家可以把富氢水喝起来,替代平时喝的水,既不改变你的生活方式,还可以起到养胃等保健养生作用哦!
另外,日常大家要拒绝这些伤胃行为哦!
(1)拒绝不吃早餐:不吃早餐胃分泌的胃酸没有食物可消化,会损伤食管、胃肠黏膜,长此以往不仅容易导致溃疡,还可能导致胆汁中的胆固醇沉积,诱发胆结石。
(2)拒绝天天吃撑:不仅会加重胃的负担,还会增加胰、胆等消化器官的压力,打乱消化系统的正常工作。
(3)拒绝无辣不欢:如果本身有胃肠疾病又食辣过多,则会刺激胃肠黏膜,加重其充血、水肿。
(4)拒绝抽烟酗酒:烟草中的尼古丁,会刺激胃粘膜,引起粘膜下血管收缩和痉挛,导致胃粘膜缺血、缺氧,从而起到破坏胃粘膜的作用。同样,过度酗酒也是会刺激胃粘膜。
(5)拒绝餐后运动:吃完饭就赶着去健身、跑步,可能导致内脏供血不足,影响消化功能。
(6)拒绝吃饱就睡:不少人习惯吃宵夜,回家倒头就睡,睡前饱餐,胃内食物没来得及消化,很容易出现消化功能异常。
(7)拒绝加班熬夜:上班压力大,精神紧张、经常加班熬夜,很容易导致胃酸分泌过多,引起胃部不适。
(8)拒绝小病隐忍:对胃部隐痛、腹胀等症状很不重视,能忍就忍、能拖就拖,实在不行往往随便买点止痛药或胃病药服用。
无论是喝富氢水护胃,还是戒烟限酒、少吃路边摊和外卖、规律生活等方式保护胃部,都是需要长期坚持的哦!

13602670848
